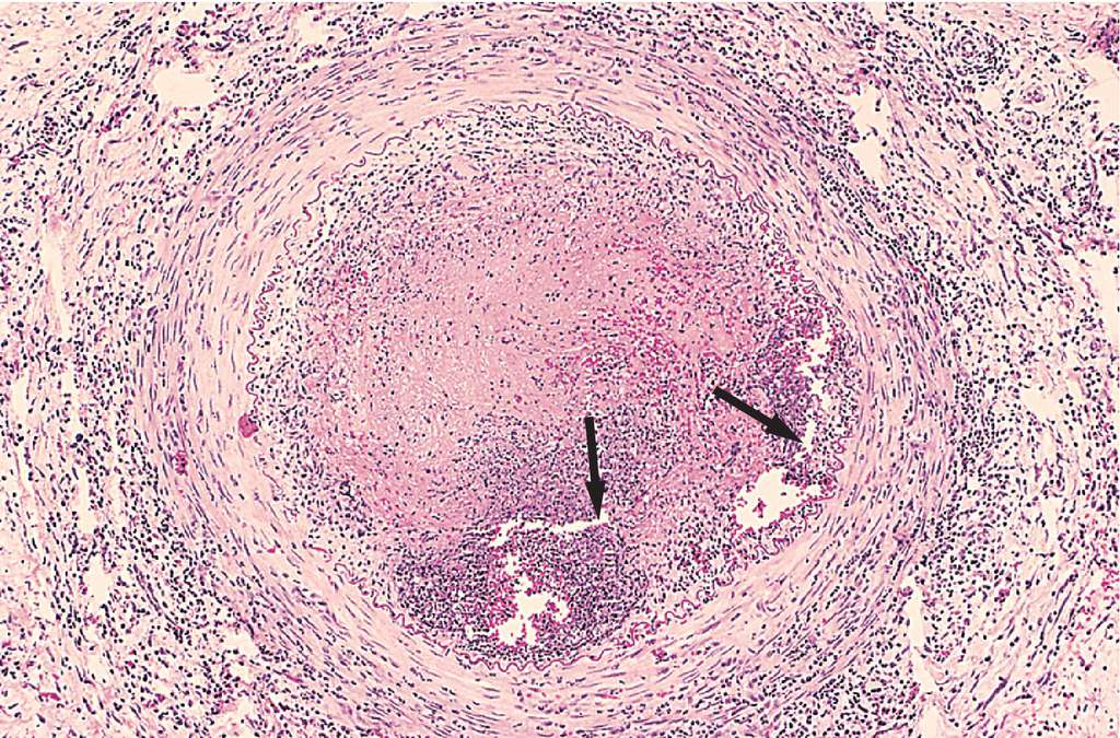
Correct all you're your grammar errors instantly. Try it now. Thromboangiitis obliterans (Kumar et al, 2007)